Live Blood Cell Analysis 

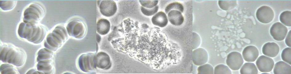
Unhealthy Red Blood Cells

 Image above: unhealthy live red blood cells

Examining the live blood cells and plasma under a microscope provides a detailed picture of the condition of your internal environment and how it functions. Red blood cells have a life span of approximately 120 days. Live blood cell analysis provides a snap shot of the quality of your red blood cells over the past four months.  Live blood cell analysis enables you to see the impact of your lifestyle at the cellular level and make specific changes to restore balance to your internal biological terrain.

Image below: healthy live red blood cells

group of healthy cells

 
 
Wellness     
"The process
of becoming aware
of and making changes toward
a more successful existence"